MENU

AMOND

REAL REVIEW

아몬드성형외과에서 수술하신 분들의 리얼한 후기

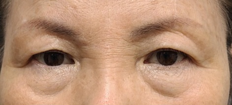
자연유착 쌍꺼풀 시술을 통해 고민해결했어요^^

profile_image
작성자하이얀
댓글 0건 작성일 24-02-06 17:12
눈처짐으로 인해 대인기피증 및 자신감이 없어 사람을 기피했었는데 수술후사람들과의 관계가 원만해져습니다.
시술에 대한 자세한 설명과 결과에 감사드립니다.^^
Total 4,657건 530 페이지

라이너트임

자연유착눈매교정 후기입니다

자연유착후기

자연유착 눈매교정

재수술 자연유착+눈밑지방이식

자연유착 쌍꺼풀 시술을 통해 고민해결했어요^^

의사보다 내가 더 만족하는 아몬드

카카오톡 상담

온라인 상담