자연유착 한달 후기

작성자김지현
댓글 0건
작성일 24-02-12 22:51
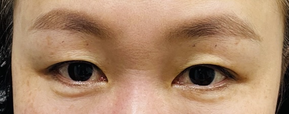
눈을 뜰 때 이마 주름 생김 & 예쁜 눈매를 갖고 싶어서 수술하게 되었어요
아몬드에서 시술한 지인들이 모두 성공해서 믿고 결정했어요 ㅡ
상담 즉시 수슬 했습니다.
장점은 일상생활이 가능 붓기가 적었어요
목요일 오후 5시 수술 받고 월요일 출근 ㅡ가능했습니다.
한달 지났는데 더 자연스러워요 ㅡ
친구들 다 하고 고민한 1년이 아깝네요
진작할걸~
매우매우 만족합니다^^
아몬드에서 시술한 지인들이 모두 성공해서 믿고 결정했어요 ㅡ
상담 즉시 수슬 했습니다.
장점은 일상생활이 가능 붓기가 적었어요
목요일 오후 5시 수술 받고 월요일 출근 ㅡ가능했습니다.
한달 지났는데 더 자연스러워요 ㅡ
친구들 다 하고 고민한 1년이 아깝네요
진작할걸~
매우매우 만족합니다^^






