리얼후기

작성자정선옥
댓글 0건
작성일 24-04-26 17:15
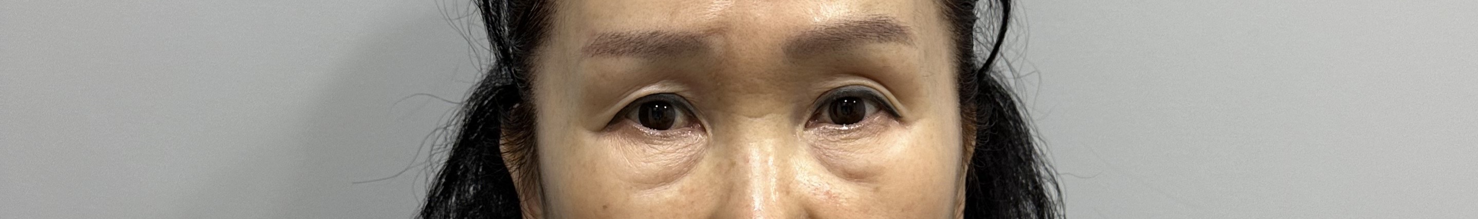
전보다 확실히 눈 밑이 환해지고 보기좋습니다
의사선생님도간호사분들도 친절히 설명 잘해주셨어요
아프지도 않고 멍붓기도 거의 없었어요
의사선생님도간호사분들도 친절히 설명 잘해주셨어요
아프지도 않고 멍붓기도 거의 없었어요







