눈성형 후기

작성자현지니
댓글 0건
작성일 24-05-27 09:40
저는 전남 광양에 거주하는 평범한 주부이자 직장인입니다.
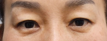
나이가 들어가면서 눈두덩에 탄력이 사라졌고 눈꼬리가 먼저 처지기 시작하면서 전체적으로 나이 들고 둔해 보이는 눈으로 변하게 되어 평소 고민이 많았습니다.
주변에 고민을 털어놓으니 지인 한 분께서 아몬드 성형외과를 추천해주셨고 망설이다 전화를 걸었지만 망설임 없이 수술을 결정하게 되었습니다.
망설임 없었던 이유는 친절하고 상세한 상담과 그리고 진실함이 담긴 다양한 성형 후기를 보았기 때문입니다.
수술은 실력 있는 의사 선생님께서 짧은 시간에 진행해주셨고 사후 관리에 대한 설명도 상세하게 해주셨습니다.
지금은 한 달 정도 지난 시점인데 눈이 너무 자연스럽게 예뻐져서 너무 행복합니다.
작은 결심으로 삶이 바뀔 수 있다면 주저하지 마시고 행동하세요.
눈 때문에 고민하시는 분들이 계시다면 망설이지 마시고 저처럼 아몬드 성형외과를 선택하시면 될 것 같습니다.
나이가 들어가면서 눈두덩에 탄력이 사라졌고 눈꼬리가 먼저 처지기 시작하면서 전체적으로 나이 들고 둔해 보이는 눈으로 변하게 되어 평소 고민이 많았습니다.
주변에 고민을 털어놓으니 지인 한 분께서 아몬드 성형외과를 추천해주셨고 망설이다 전화를 걸었지만 망설임 없이 수술을 결정하게 되었습니다.
망설임 없었던 이유는 친절하고 상세한 상담과 그리고 진실함이 담긴 다양한 성형 후기를 보았기 때문입니다.
수술은 실력 있는 의사 선생님께서 짧은 시간에 진행해주셨고 사후 관리에 대한 설명도 상세하게 해주셨습니다.
지금은 한 달 정도 지난 시점인데 눈이 너무 자연스럽게 예뻐져서 너무 행복합니다.
작은 결심으로 삶이 바뀔 수 있다면 주저하지 마시고 행동하세요.
눈 때문에 고민하시는 분들이 계시다면 망설이지 마시고 저처럼 아몬드 성형외과를 선택하시면 될 것 같습니다.





