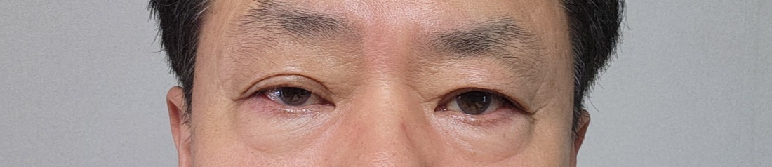
안검하수 수술 했어요^^

작성자개구리왕눈이
댓글 0건
작성일 24-06-07 16:31
원래 가지고 있던 쌍커풀이 나이가 들면서 쳐져서 안검하수 수술을 결심하고 지인 추천으로 아몬드를 선택했어요. 상담도 잘 해주시고 수술 결과도 만족합니다. 확실히 양눈 차이가 줄어들었어요





