눈 자연유착~♡

작성자JSA
댓글 0건
작성일 24-07-23 20:49
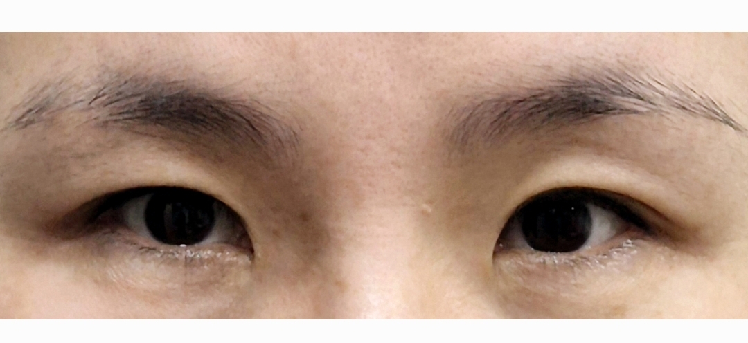
6월에 자연유착으로 수술받았습니다.
작고 함몰인 눈모양이라서 해서 부담스럽지 안을까 엄청 고민 했는데 너무 자연스러워서 완전 만족입니다.
첫날부터 멍도 없었고 다음날 부터 일상생활가능~^^
당연히 눈화장은 피하긴 했지만 생활에 큰 무리없었습니다.
저처럼 작고 함몰눈이신분들 왕눈이는 안되더라도 이미지나 예쁜눈으로는 충분히 바뀔수 있네요~^^
두번째 사진은 수술 당일 냉찜질 후 밤에 찍었습니다..
마지막 사진 수술전입니다.
작고 함몰인 눈모양이라서 해서 부담스럽지 안을까 엄청 고민 했는데 너무 자연스러워서 완전 만족입니다.
첫날부터 멍도 없었고 다음날 부터 일상생활가능~^^
당연히 눈화장은 피하긴 했지만 생활에 큰 무리없었습니다.
저처럼 작고 함몰눈이신분들 왕눈이는 안되더라도 이미지나 예쁜눈으로는 충분히 바뀔수 있네요~^^
두번째 사진은 수술 당일 냉찜질 후 밤에 찍었습니다..
마지막 사진 수술전입니다.






